Andreea Ibacka: „Ajutor! Salvarea lor pare imposibilă fără ajutorul vostru.”
MedLife lansează Longevity 100+, primul și cel mai amplu program de testare genetică din regiune
România traversează o perioadă esențială de schimbare în domeniul sănătății. Presiunea tot mai mare asupra spitalelor, creșterea incidenței bolilor cronice, costurile ridicate ale tratamentelor și așteptările pacienților se suprapun peste evoluția rapidă a tehnologiilor de inteligență artificială și testare genetică. Aceste transformări creează premisele unei tranziții fundamentale: trecerea de la medicina reactivă, în care pacientul ajunge la medic doar atunci când boala se manifestă, la medicina preventivă și personalizată, centrată pe diagnostic precoce, prevenție și îmbunătățire a calitatății vieții. Este vorba despre o medicină a individului, care se adresează fiecărei persoane în parte, nu unor tipologii generale precum „bărbatul de 40 de ani” sau „femeia de 30 de ani”.
Cum protejăm ochii copiilor școlari – recomandări esențiale de la oftalmologi
Odată cu începutul școlii, vederea copiilor este pusă la încercare mai mult ca oricând. Ore întregi petrecute în fața manualelor, a caietelor sau a ecranelor digitale pot accelera problemele oftalmologice, iar specialiștii avertizează că oboseala vizuală la copii este în creștere. Totuși, există măsuri simple, dar validate medical, care pot preveni complicațiile pe termen lung.
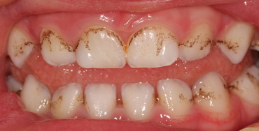
Petele negre de pe dințișorii copiilor: Nu sunt carii, dar nici de ignorat
Mulți părinți observă, la un moment dat, apariția unor pete negre sau brun-negricioase pe dinții copiilor – de obicei pe dinții de lapte. Reacția firească este îngrijorarea: „Oare are carii?” În realitate, aceste pete nu sunt întotdeauna semn de degradare dentară. Aflăm de la specialiști ce sunt, de ce apar și când trebuie să ne îngrijorăm.







